Cabinet dentaire du Littoral - Dr Christophe Hollebecque
Chirurgien-Dentiste à DUNKERQUE
Accueil
Le cabinet
Plan d'accès
Urgences
Fiches Conseils
Nos vidéos
Contact
PRENDRE RDV
35 bis rue Masséna, 59640 DUNKERQUE
+33 3 28 25 10 20
Cabinet dentaire du Littoral - Dr Christophe Hollebecque
Chirurgien-Dentiste à DUNKERQUE
Accueil
Le cabinet
Plan d'accès
Urgences
Fiches Conseils
Nos vidéos
Contact
PRENDRE RDV
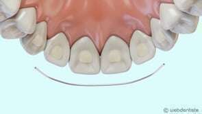
Fil de contention
Vidéos 3D
Partager
Twitter
Partager
Partager
Envoyer
Copier
Cabinet dentaire du Littoral - Dr Christophe Hollebecque
35 bis rue Masséna
59640
DUNKERQUE
+33 3 28 25 10 20
Liens
Politique de confidentialité et charte cookie
Mentions légales
Conditions Générales Utilisation
Charte déontologique
Ordre national
Annuaires chirurgiens dentistes
Recherche
Coordonnées
Création par
Connexion